A cordial greeting to all my readers, especially to the steemstem community.
In the last few weeks that I have been publishing content in the English language, I have shared topics related to brain and lung diseases, with excellent content backed up with X-rays that interpret the pathology more clearly.
In this opportunity I want to share a totally different subject to the previous ones, of course related to the medical subject as usual, which is a pleasure and a challenge in each publication.
Now, we will take as a basis of discussion the lesions or pathologies developed in skin, which are very difficult to diagnose with low peak incidence, in all internal medicine services.
In other words, there are diseases where the host's immune system is responsible for this clinic and illness, as is the case with Dermatomyositis.
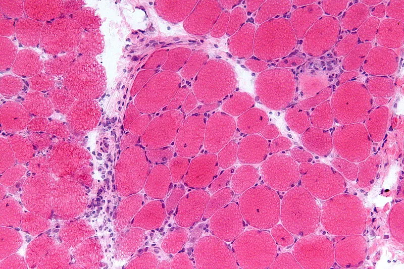
Dermatomyositis is defined as the inflammatory process of autoimmune origin, where the expressed clinic will be muscle weakness with a typical characteristic; proximal, progressive and symmetrical, affecting more frequently pelvic and scapular musculature, accompanied by vascular involvement, thus the presence of skin lesions.

Micrograph of dermatomyositis. Public domain image. Licensed CC BY-SA 3.0. Source wikipedia. Author: Nephron
Physiopathology
For us to understand this clinical entity, it is important to know and determine its origin, and it is for this reason that two immunological mechanisms have been proposed to explain the presence of chronic inflammatory infiltrates in muscle cells and their relationship with antibodies in blood that cause this pathogenesis.
Cellular Immunity Mechanism
In the muscle plaque, an attack by CD8+ T lymphocytes against muscle fibers directed at an antigen of unknown surface is elaborated. The ideal method to obtain a precise diagnosis is through a biopsy of the affected tissue will be to determine the presence of muscle infiltrate with a large number of T lymphocytes; in addition, there is a noticeable decrease in suppressive/cytotoxic cells in the blood, as well as necrosis and regeneration of muscle fibers.
Humoral Immunity Mechanism
This last mechanism tells us about vascular damage, expressed as microangiopathy secondary to local activation of the complement. Observing in the histological study of the biopsy taken, a degeneration of the muscle fibers, by circulatory alterations, and therefore decrease of the muscular irrigation and decrease of blood flow to the capillaries, giving way to the phenomena known as vasculitis, as well as the existence of deposits of immunoglobulins and the complement complex (C5b-C9) located in the walls of muscular blood vessels and even in regions of muscle free or with minimal compromise has been demonstrated, suggesting that humorously mediated vascular lesion, which progresses to tissue destruction and necrosis.
Associated Risk Factors
There is a set of factors that increase the prevalence of the appearance of this disease in the skin, as they are: A genetic base, related to histocompatibility antigens (HLA) HLA-B8, HLA-DR3 and HLA-DRw52 are the most frequent in these types of patients.
Infectious Processes, as possible triggers being the most common viral infections, such as picornavirus, Coxsackie and echovirus can produce diffuse myositis. Adenovirus and human immunodeficiency virus (HIV) are also associated. In relation to infectious processes of parasitosis type we have; Toxoplasma gondii and Borrelia burgdorferi, and finally the bacterial etiology described infections by streptococcus and staphylococcus, could be the cause of presentation of dermatomyositis in adolescents and young adults.
The cause of medication, as differential diagnosis we have the corticoids, antimalarial drug, colchicine and cyclosporine, the use of breast implants is also related to similar characteristics of this disease.
Clinical Manifestations
The typical lesion is the erythema of reddish-violaceous coloration, known as erythema heliotrope, of symmetrical distribution in badly delimited areas. Initially it takes the face, accompanied by oedema in the upper eyelids and photo sensibility, this lesion can also be evidenced in the anterior region of the thorax with V disposition (sign of the V), in the posterior part of the nape, the shoulders and superior part of the dorsum (sign of the shawl), as well as to the extremities, the back of the hands and the fingers.

@anaestrada12

@anaestrada12
Key skin manifestations are "Gottron's papules" or "Gottron's sign", are flattened lesions 1 to 2 mm in diameter, violet in colour, scaly surface and are located on the back of the interphalangeal or metacarpophalangeal joints or both. Finally, changes can be seen in patients with dermatomyositis, such as thickening, hyperkeratosis and fissures in the lateral and palm faces of the fingers.

@anaestrada12
The periungeal ulcers, in the armpits, elbow or pressure zones, are usually signs of systematic vasculitis.

@anaestrada12
In some occasions ulcerations may be reflected that indicate the existence of necrosis of the skin secondary to ischemia or absence of blood supply.
Once the skin lesions are established, there are also more global lesions with an insidious onset that may or may not be related to a febrile pródromo associated with a febrile process of viral etiology . The fever when it is present is moderate and is accompanied by general malaise and anorexia, when this clinic is acute and progressive tends to have worse prognosis at the end of the year, with multiple long-term complications. Usually muscle weakness is slowly instaurating and the patient usually refers breathing difficulty to small and medium effort.
Complications
Calcifications, this clinical presentation is more frequent in childhood in relation to adult is seen as dystrophic calcifications, resulting from existing muscle necrosis.
Vasculitis of the digestive tract, triggered by arterial and venous occlusion of the intimate layer leading to necrosis and infarction. Clinical symptoms vary from diffuse abdominal pain, nausea, vomiting, diarrhea, manes and even acute surgical abdomen such as intestinal perforations.
Diagnostic techniques
Diagnostic criteria proposed by Bohan and Peter in 1975
Treatment/Conclusions
It is based mainly on the use of systemic corticosteroids. Initial doses range from 1-2mg/kg/day of prednisone. Once the clinical improvement and the decrease of the muscle enzymes is evident, the dose is reduced in a pyramidal scheme until the maintenance dose is reached and finally it is completely withdrawn.
All the photos taken and published in this article were with previous authorization of the patient for their scientific disclosure.
Sources of support in the publication

steemSTEM is a project of the chain of blocks that supports the scientific content in different areas of science. If you want to know more about this wonderful project you can join the server in discord
This article will be published at https://www.steemstem.io/

I hope you enjoyed my content.