Saludos apreciada comunidad científica de @stem-espanol. A continuación presentare un artículo que hace referencia a un tema denominado Hidrocefalia, el cual aunque no lo parezca es una entidad frecuente producto de lesiones cerebrales capaces de originar un incremento en el volumen y circulación del Líquido cefalorraquídeo determinando así las manifestaciones clínicas en el individuo afectado.
La palabra Hidrocefalia deriva de hace miles de años y proviene del griego donde Hidro hace referencia al agua, y Cephalus a la cabeza, por ende dicho termino, se describe como la acumulación anormal de líquido cefalorraquídeo (LCR) en el cerebro, la cual si no es tratada o detectada a tiempo, tiene la capacidad de originar una de las complicaciones temidas llamadas Hipertensión Endocraneal.
Esta patología puede presentarse en cualquier etapa de la vida, aunque se ha observado con mayor incidencia en recién nacidos, lactantes y en adultos mayores de 60 años, no tiene predilección por el sexo ni la raza.
El líquido cefalorraquídeo (LCR) constituye aproximadamente el 10% del volumen intracraneal y que por medio de él se protege y se nutre el Cerebro y toda la Médula espinal, adema de esta importante cualidad, este líquido tiene la capacidad de permitir el transporte de nutrientes y metabolitos e incluso favorecer en la distribución de fármacos cuyo órgano blanco terapéutico es el Sistema Nerviosos Central.

Cerebro Humano. Fuente WIkipedia. Autor: Erald Mecani. Imagen de Dominio Público

Si bien nuestro Sistema Nervioso se compone de dos hemisferios y que estos a su vez se subdividen en lóbulos; frontal, occipital, temporal, y parietal donde cada uno ejerce sus funciones.
Existen otras estructuras vitales e importantes para el cerebro denominado Ventrículos Cerebrales, los cuales son cavidades que se encuentran interconectadas entre sí, que constituyen todo un sistema y que permite el paso del LCR.
Tenemos a continuación; los Ventrículos Laterales en número de dos, a cada hemisferio cerebral constituido por un asta anterior que se dirige hacia el lóbulo frontal, otra asta posterior hacia el lóbulo occipital y un asta inferior que se dirige hacia abajo y por delante del lóbulo temporal, estos ventrículos se comunica con el Tercer ventrículo por medio del Agujero de Monro.
El Tercer Ventrículo es una cavidad mucho más pequeña y delicada localizada en tálamo que se comunica con el cuarto ventrículo por medio del acueducto de Silvio.
Por último tenemos al Cuarto Ventrículo, ubicado entre el cerebelo y el tronco cerebral, esta estructura es la que permite la salida del LCR al espacio Subaracnoideo. Y se relaciona con la Médula espinal por medio del canal Ependimario.

Ventrículos Cerebrales. Fuente Wikimedia Commons. Autor: Henry Vandyke Carter Imagen de Dominio Público

El líquido cefalorraquídeo (LCR) o también denominado líquido cerebroespinal (LCE) tiene las propiedades de ser un líquido incoloro inoloro que recubre y protege el encéfalo y la médula espinal. En condiciones normales tiene un volumen aproximado de 100 a 150 ml.
Se encuentra constituido principalmente por agua y otros elementos tales como sodio, potasio, cloro, calcio, aminoácidos, glucosas, y proteínas.
Este maravillo líquido que nos nutre y protege nuestro Sistema Nervioso en su totalidad, se elabora a partir de los plexos coroideos, en casi el 70% y el otro restante 30% proviene de su elaboración en el Epéndimo (membrana Aracnoidea), donde se dirigen hacia los ventrículos laterales, desde allí se dirige al Tercer Ventrículo por medio del agujero de Monro.
Posteriormente pasa a través del Agujero de Silvio llega al Cuarto Ventrículo, y desde aquí donde se encuentran dos importantes orificios denominados Luschka y Magendie permite que el LCR se dirija hacia el espacio subaracnoideo y finalmente rodear todo el Sistema Nervioso Central.
Es absorbido por las vellosidades aracnoideas, las cuales se encuentran en íntima relación con los senos venosos, que contiene una importante membrana que recubre el cerebro y desde aquí este líquido se dirige al torrente sanguíneo.
Este recambio o renovación de LCR se da en condiciones normales cada 3 a 4 horas, generando una elaboración por día aproximada de 500ml.

Liquido Cefalorraquideo Fuente: National Cancer Institute. Autor: Terese Winslow (Illustrator). Imagen de Dominio Público

Primero que todos debemos tener claro que la hidrocefalia no es más que el incremento exagerado del LCR en el interior de la cavidad craneal, lo que origina como consecuencia un aumento del tamaño de las cavidades por donde circula este líquido denominadas ventrículos, espacios subaracnoideos y cisternas.
En base a lo definidos podemos concluir entonces que la hidrocefalia no es más que el producto de la pérdida del equilibrio entre la cantidad de elaboración y la cantidad de absorción del LCR en el torrente sanguíneo.
Determinando así que la presencia de esta patología sea secundaria ha:

Según su presentación la hidrocefalia puede ser:
Congénita: que se desarrollan o presentan en vida intrauterina o posterior al nacimiento y que suelen ser producto de infecciones durante el embarazo no tratadas, déficit nutricionales (como déficit de vitamina A, B12, ácido fólico entre otros), teratogénesis secundarios a fármacos o virus, heredadas.
Adquirida: de presentación más tardía, en adultos jóvenes o mayores y que puede ser originadas por la presencia de Lesiones ocupantes de espacio como tumores, abscesos o procesos infecciosos a nivel del Sistema nervioso central.
Según su presentación Clínica
Hidrocefalia Comunicante o no Obstructiva, las cuales serán producto de una elaboración exagerada o falla en la absorción del Líquido cefalorraquídeo, por lo general se observan en las patologías tales como Papinoloma de Plexos Coroideos Deficiencia de vitamina o nutricional en el niño, algunas toxinas, infecciones del LCR y hereditario.
Hidrocefalia NO comunicante o la de tipo Obstructiva, existe la presencia de una lesión que obstruye el paso del líquido por medio de cavidades del cerebro llámese ventrículo, espacio subaracnoideo, suele observarse el tumores de ventrículos.

Hidrocefalia en Niños.Fuente Wikimedia Commons. Autor: CDC. Imagen de Dominio Público

Son diferentes según el grupo etario que se encuentre afectados, en el recién nacido o lactante se observa malformaciones congénitas, aumento de la circunferencia del cráneo, dolor de cabeza, desviación de la mirada, vómitos y somnolencia marcada.
En el adulto se manifiesta con cefalea progresiva, persistente con alteración de la agudeza visual, vómitos, deterioro cognitivo e incluso si se acompaña de hipertensión endocraneal podremos observar a nivel sistémico Hipertensión arterial, bradicardia, alteración del patrón respiratorio y compromiso neurológico. En casos severos se pueden observar convulsiones, compromisos de pares craneales y coma.

Por medio de estudios de neuroimagen, bien sea Tomografías axial computarizada o Resonancia Magnética la cual nos permite observar el acumulo de líquido cefalorraquídeo en las diferentes estructuras de cerebro, como lo son los ventrículos cerebrales.

Masculino de 30 años de edad, sin antecedentes patológicos conocidos, quien inicia enfermedad actual un mes previo a su ingreso presentando disminución de la fuerza muscular en miembro inferior izquierdo de forma intermitente que dificultaba la deambulación, la cual se acompaña de cefalea a predominio occipital de modera intensidad, que alivia con AINES, concomitante-mente escotomas y disminución de la agudeza visual, posteriormente se asocia vómitos en proyectil de contenido bilioso en más de 4 oportunidades, evidenciándose el día de su ingreso movimientos tónico clónicos generalizados, con retroversión ocular, sialorrea y relajación de esfínter vesical, por aproximadamente 1 minuto de duración con posterior periodo post-ictal, episodio que se repitió en 2 oportunidades, motivo por el cual acude a este centro donde se valora y se decide su ingreso.
Examen Físico de Ingreso
PA: 110/70 mmHg FC: 80 Lpm FR: 18 Rpm
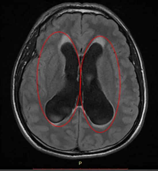
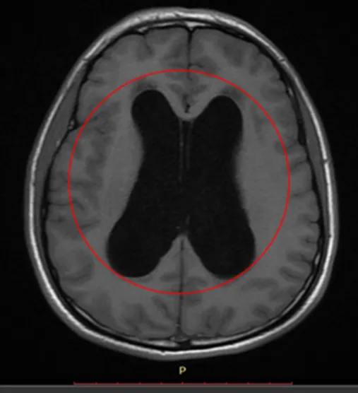
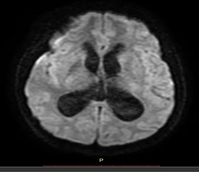
Resonancia Magnética Cerebral Simple

@anaestrada12

@anaestrada12

@anaestrada12
Hallazgo en RNM Cerebral
A nivel de brazo anterior de capsula interna derecha se observa pequeña área con cambios de intensidad de la señal de comportamiento magnético isointenso en T1 con respecto a la sustancia gris, e hiperintenso en T2 con restricción hídrica en difusión, mide 6.0 mm x 5.0 mm en sus mayores ejes sin repercusión sobre estructuras adyacentes.
Se observa dilatación simétrica en ventrículos laterales así como de tercer y cuarto ventrículo, este último provocando desplazamiento de mesencéfalo y parénquima cerebeloso en sentido anterior y posterior respectivamente, asociada a hiperintensidad moderada de la sustancia blanca periventricular en secuencia FLAIR en relación con edema intersticial.

Cuando existe alteración del equilibrio en la circulación de LCR y no es tratado ni diagnosticado a tiempo se puede originar una complicación conocida como HIPERTESIÓN ENDOCRANEANA que no es más que el aumento de presión intracraneana que depende de su severidad y tiempo de evolución, es capaz de desplazar estructuras subyacentes originando una clínica especifica de esta entidad patológica que consta de una triada característica:
La hidrocefalia y la hipertensión endocraneal por lo general se diagnostican una vez que se instaura dicha enfermedad, lo ideal es determinar de forma precoz el origen de dicha patología para la resolución del mismo, como es el caso presentado, donde nuestro paciente desarrollo estas manifestaciones posterior a que en su RNM cerebral simple se evidencio LOE en 4to ventrículo que por obstrucción del LCR provoco incremento de la presión del mismo instalándose su enfermedad actual, el tratamiento actual en estos pacientes primero que todo es disminuir la presión del LCR por medio de una válvula de derivación ventrículo peritoneal y posteriormente resolución quirúrgica de lesión ocupante de espacio.
Actualmente nuestro paciente se encuentra recibiendo tratamiento médico a base de: esteroides tipo Dexametasona 8mg EV OD, Fenitoina Sódica 100 mg VO cada 8 horas. Ácido valproico 10cc VO cada 12 horas. y Acetazolamida 250 mg VO cada 12 horas. En espera de resolución quirúrgica.


Créditos @elvigia
@Steemstem es un gran proyecto de la comunidad de steem encargado de promocionar artículos de alta calidad sobre ciencia, tecnología, matemáticas, ingeniería y otras ramas científicas como la psicología, medicina y ciencias sociales. Si deseas saber más sobre esto no dejes de visitar la etiqueta #steemstem y por supuesto la sub comunidad de habla hispana #stem-espanol.
También puedes unirte a los canales en discord y compartir con miembros activos de la comunidad y divertirte conversando y es no lo es todo de igual forma puedes debatir temas interesantes sobre ciencia y participar en las actividades que semanalmente se celebran en el canal.

Créditos @abdulmath